bannerOben2

Ablauf

Am Anfang einer kieferorthopädischen Behandlung steht grundsätzlich eine eingehende Untersuchung des Patienten und eine ausführliche Beratung der Eltern, in der die Notwendigkeit einer Zahnspange, die Frage der Kosten und der Dauer der Behandlung besprochen wird. Außerdem werden von jedem Patienten Angaben zu allgemeinen Fragen der Gesundheit benötigt, wozu unsere Anamnesebögen dienen.

Anamnesebogen Kind

Anamnesebogen Erwachsener

Vor der Behandlung, in besonderen Situationen während und nach der Behandlung ist es im allgemeinen erforderlich, Röntgenaufnahmen, Fotos und Abdrücke zu machen. Der Kieferorthopäde benötigt einige spezielle Röntgenaufnahmen.

OPG
FRS
HWZ
Profil

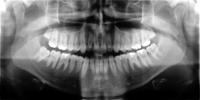
Das Orthopantomogramm  ist eine Aufnahme beider Kiefer mit dessen Hilfe der Zustand der Zähne, der Verlauf des Zahndurchbruchs und die Lage der Zahnkeime im Kiefer beurteilt wird.

Die Fernröntgenseitenaufnahme dient der Analyse der Lage des Gebisses im Schädel. Die Auswertung wird in unserer Praxis mit Hilfe eines Computers vorgenommen.

Eine besondere Aufnahme ist das Röntgen der Handknochen zur Bestimmung des vorhandenen Wachstums des Patienten, da bestimmte kieferorthopädische Maßnahmen das Wachstum für den Erfolg erfordern (z.B. Korrektur der Unterkieferlage). Daneben ist es möglich, die spätere Körpergröße des Kindes zu berechnen.

Die Patientenfotografie zu Beginn der Behandlung wird zur Vermessung des Gesichtes benutzt, da kieferorthopädische Maßnahmen das Aussehen des Patienten verändern können.

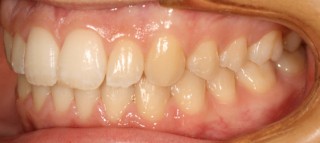
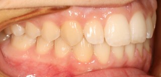
Um die Behandlung zu dokumentieren und für die Beratung der Patienten fertigen wir routinemäßig vor, nach und manchmal auf während der Behandlung Fotos von den Zähnen an.

Intraorales Bild02 [320x200] Intraorales Bild03 [320x200]
Intraorales Bild04 [320x200]
bannerUnten2
[Willkommen] [Praxis] [Team] [Behandlung] [Zahnpflege] [FAQ] [Kontakt] [Anfahrt] [Impressum]
bannerUnten